
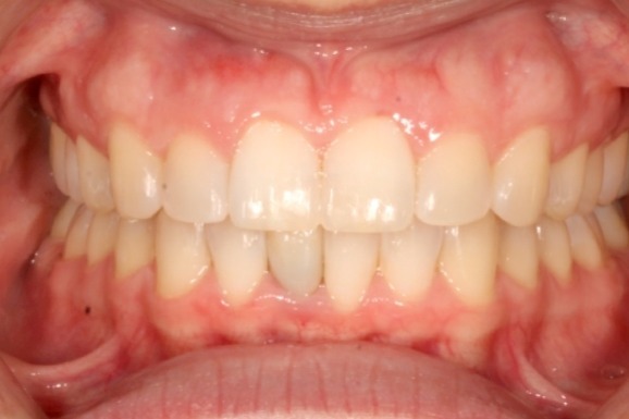
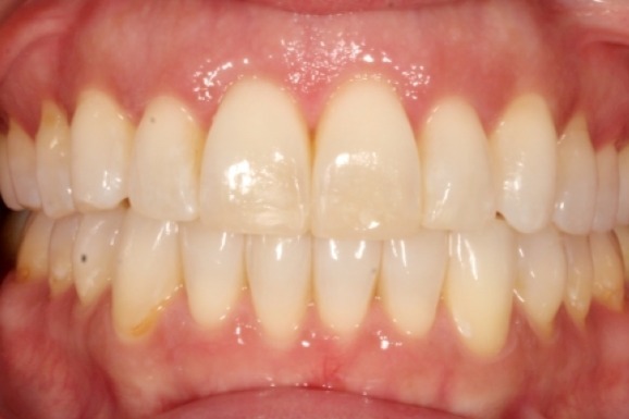
What a Difference!
Orthodontic treatments like custom braces and clear aligners can revamp tooth function, boost confidence, and give your smile a glow-up. At Heinz Orthodontics, expert orthodontist Dr. Jeffrey Heinz works with kids, teens, and adults.
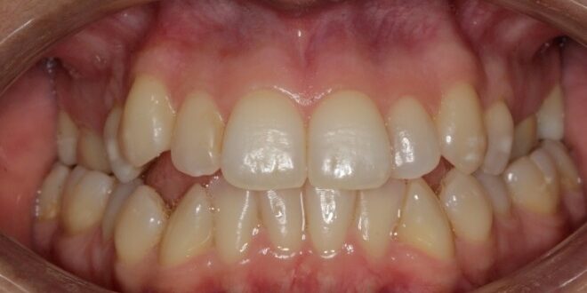
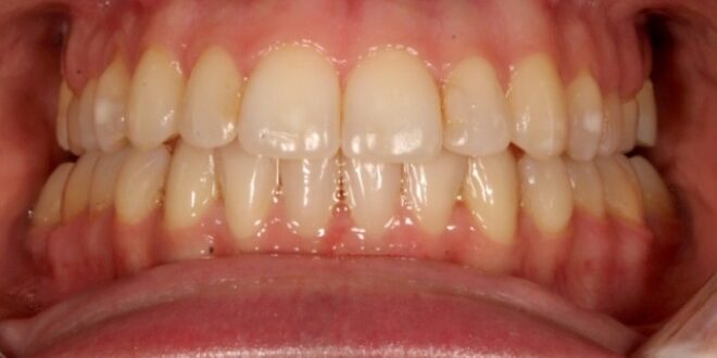
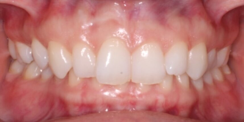
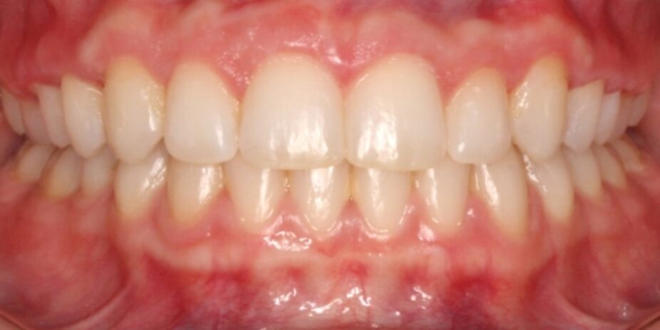
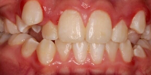
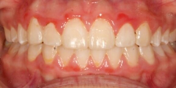
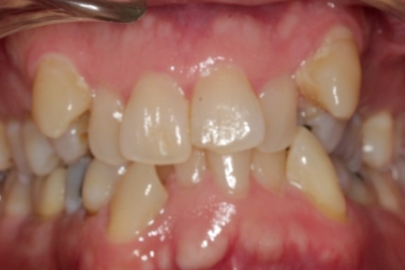
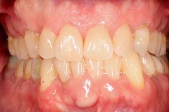
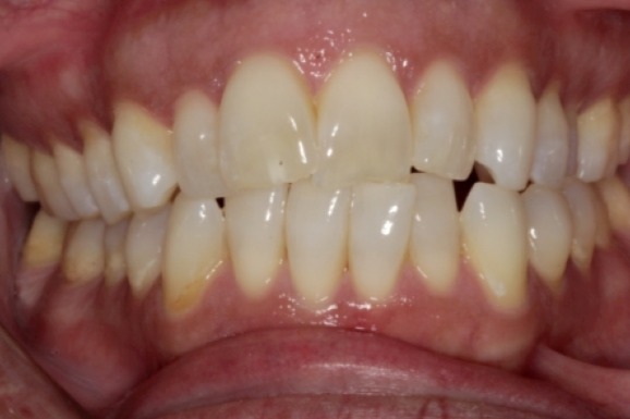
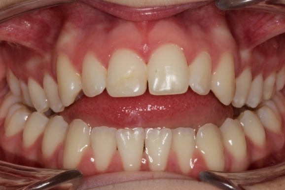
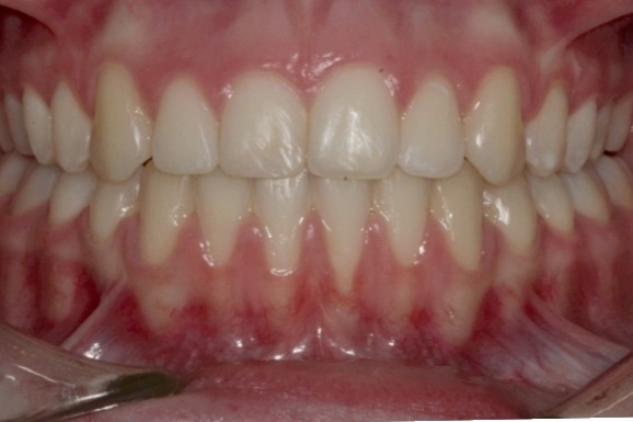
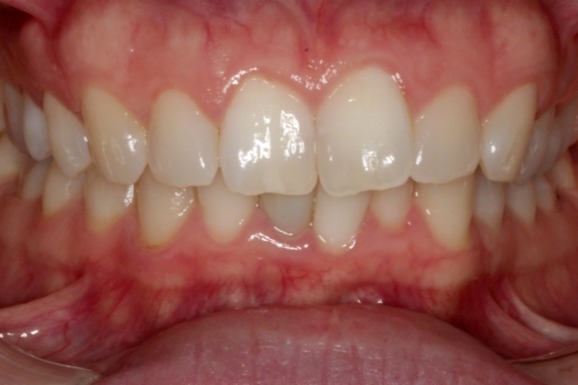
Each smile has its own story, just like every person. Here are some orthodontic before-and-after photos created from Dr. Heinz’s smile designs.
Patient 1




Patient 2




Patient 3



Patient 4




Patient 5



Patient 6




Patient 7





